21点游戏

21点游戏

| 联系我们 |
医院动态
   
停诊公告:




您当前位置:21点游戏 > 医院动态 > 医院新闻
医院新闻

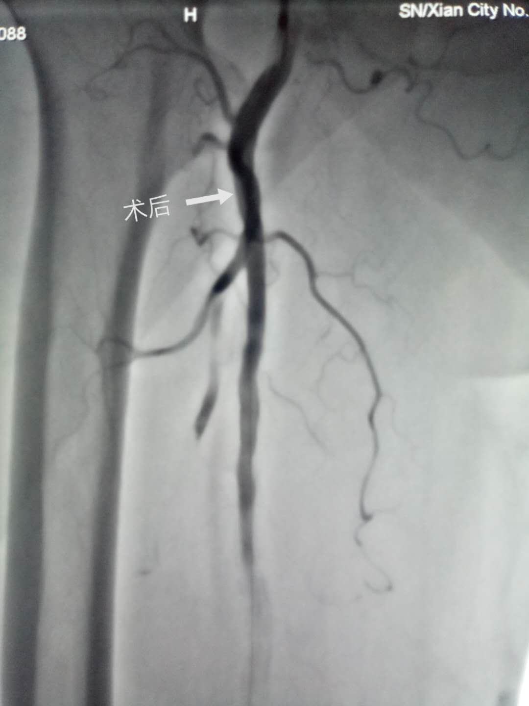
心内五病区成功为一名90岁高龄 急性下肢动脉血栓患者行介入取栓溶栓术

稿件来源:心内五病区     编辑:杨光     上传时间:2019年4月12日
       2019年4月10日下午,21点游戏攻略站 心内五病区急诊成功完成一例超高龄老人的急性下肢动脉血栓形成的介入治疗。
       患者女性,90岁,以“间断胸闷、气短20年余,右下肢冰冷1天”之主诉入院,查体:右下肢皮肤苍白,皮温低,足背动脉搏动消失。彩超提示右下肢股动脉血栓形成,且造成管腔闭塞可能。患者为超高龄女性,体重只有38公斤,同时合并2型糖尿病、冠心病、心力衰竭等疾病,属于出血超高危险患者。现急性右下肢动脉血栓形成,需要急诊介入治疗,否则有肢体坏死的风险。在郭瑄主任医师主持下,经全科积极讨论确定右下肢动脉血栓形成的微创治疗方案。认真完成术前准备后,充分告知家属手术风险,由郭瑄主任医师、尚粉青副主任医师在介入室配合下于2019年4月10日下午在局麻下行右下肢动脉血管造影术+血栓抽吸术+动脉血栓溶栓术,手术过程顺利,术后患者右下肢供血明显改善。
       下肢动脉闭塞症是一种老年常见的疾病,是因为下肢动脉狭窄、闭塞,引起腿部供血不足出现腿部疼痛,感觉异常,皮温低,严重的会引起坏疽,而导致病人截肢。随着老龄化社会的到来,对于超高龄的老人,一般基础疾病较多,手术风险大,术中抗凝出血风险大,给介入医师带来更多挑战。我科通过此病例的成功处理,积累了对超高龄出血风险大的病例的治疗经验,为今后更好的开展此类介入治疗积攒了宝贵的经验。